MVZ Herne - Untersuchungen im Mutterleib
Zu den Inhalten springen
MVZ Herne
St. Elisabeth Gruppe
HomeHome
Medizinisches Versorgungszentrum

Untersuchungen im Mutterleib

Die Praxis bietet alle nicht-invasiven und invasiven pränatalen Diagnostikverfahren an. Zu den nicht-invasiven Verfahren gehören unter anderem der nicht-invasive Pränataltest, das Ersttrimester-Screening, die Echokardiographie, der Fein-Ultraschall / die Organdiagnostik sowie die Dopplersonographie und Farbdopplersonographie. Invasive Untersuchungen sind unter anderem die Fruchtwasseruntersuchung, die Mutterkuchengewebeentnahme sowie die Untersuchung des kindlichen Nabelschnurblutes.


Nicht-invasive Untersuchungen

Zu den nicht-invasiven Untersuchungen zählen alle Verfahren, die nicht in den Körper eingreifen.

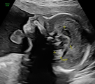
Ersttrimesterscreening

Das Ersttrimesterscreening ist die erste große Ultraschalluntersuchung in der Schwangerschaft und findet zwischen 12.-14. Schwangerschaftswoche statt.

Teil der Untersuchung ist einerseits die Berechnung eines individuellen Risikos für die häufigsten Chromosomenstörungen – Trisomie 21 (Down Syndrom), Trisomie 18 (Edwards Syndrom) und Trisomie 13 (Pätau Syndrom). Das Risiko wird Anhand des Alters der Patientin und spezifischen Ultraschallmarkern (Nackentransparenz, Nasenknochen, spezifische Blutflussmuster) berechnet.

Zudem werden die Entwicklung des Kindes und seine Organe untersucht. Dabei wird  großen Wert auf das kindliche Herz gelegt, denn viele Herzfehler können bereits zu diesem frühen Zeitpunkt erkannt werden, obwohl das Herz zu diesem Zeitpunkt erst so groß ist wie ein Reiskorn.

Das Ersttrimsesterscreening kann mit einem Nicht-invasiven Bluttest für Chromosomenstörungen kombiniert werden. (s. Abschnitt NIPT)

Der Vorteil des Ertstrimesterscreenings ist die frühe Entdeckung von angeborenen Entwicklungsstörungen. Bei optimalen Sichtbedingungen können die Ärzte einen Großteil der Fehlbildungen schon im 1. Trimester sehen. Durch das Entdecken von Auffälligkeit in diesem sehr frühen Stadium der Schwangerschaft haben die Eltern ausreichend Zeit, um sich von den erfahrenen Ärzten der Praxis, Humangenetikern, Kinderärzten, Kinderchirurgen, Kinderkardiologen und weiteren Spezialisten beraten lassen und dann die richtigen Entscheidungen über den weiteren Schwangerschaftsverlauf zu treffen.

Besonders sinnvoll ist das Ersttrimesterscreening bei Risikoschwangerschaften (Diabetes, Bluthochdruck, Autoimmunerkrankungen, Mehrlinge etc.) Hier lassen sich zudem die Risiken für eine Frühgeburt oder eine hypertensive Schwangerschaftserkrankung (Schwangerschaftsvergiftung) individuell abschätzen und noch im ersten Trimester einen „Fahrplan“ für die Schwangerschaft erstellen.

Ersttrimesterscreening

Nicht-invasiver Pränatal-Test (NIPT)

Während der Schwangerschaft werden DNA-Bruchstücke (cff-DNA) aus dem Mutterkuchen in das mütterliche Blut abgegeben. Bei diesem NIPT genannten Screening-Test werden die DNA-Bruchstücke aus der Blutprobe der Mutter auf Chromosomenerkrankungen (Trisomie 21, 18, 13 und ggf. auch auf geschlechtsspezifischen Chromosomenerkrankungen) untersucht. Der Test kann in bestimmten Fällen die Aussagekraft des Ersttrimesterscreenings verbessern. Hierzu berät das Praxisteam werdende Eltern gerne.

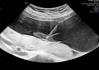
Differenzierte Fehlbildungsdiagnostik

Diese weiterführende feindiagnostische Untersuchung wird zwischen der 20. – 24. Schwangerschaftswoche durchgeführt.

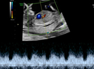
In der Regel wird für diese Untersuchung eine Überweisung vom betreuenden Frauenarzt ausgestellt, z. B. wenn im Rahmen der üblichen in den Mutterschaftsrichtlinien empfohlenen Ultraschalluntersuchung eine Auffälligkeit gesehen wurde. Weitere Gründe für eine Überweisung sind Risikoschwangerschaften oder auch der Wunsch der Eltern nach einer zusätzlichen Absicherung. Neben der allgemeinen Entwicklung des Kindes können hier –noch genauer als im Ersttrimesterscreening – alle Organe des ungeborenen Kindes begutachtet werden. Zusätzlich wird mittels Dopplersonographie die kindliche Versorgung und die des Mutterkuchens überprüft. Da Herzfehlbildungen zu den häufigsten angeborenen Fehlbildungen gehören, stellt die detaillierte fetale Echokardiographie (Untersuchung des kindlichen Herzens) einen wichtigen Bestandteil der Untersuchung dar. Dabei werden sowohl die Anatomie des Herzens als auch die Blutflüsse begutachtet.

Organfeindiagnostik

 

Echokardiografie

Invasive Untersuchungen

Zu den invasiven Untersuchungen zählen solche, bei denen ein Eingriff in den Körper der schwangeren Frau erforderlich ist.

Wenn sich eine Auffälligkeit in der Ultraschalluntersuchung zeigt, ist es oft sinnvoll, das Erbgut oder die Blutwerte des ungeborenen Kinders zu untersuchen. Bei den meisten dieser Eingriffe ist kein stationärer Aufenthalt notwendig. Vor jeder invasiven Untersuchung werden Schwangere über den Zweck, die Vorteile, die Risiken und alternative Optionen offen beraten.

Mutterkuchenpunktion – Chorionzottenbiopsie

Falls erforderlich, wird dieses invasive Untersuchungsverfahren ab der 11. Schwangerschaftswoche durchgeführt. Dabei wird mittels einer dünnen Nadel über die Bauchdecke unter ständiger Ultraschallkontrolle Mutterkuchengewebe entnommen. Das Verfahren wird am häufigsten im 1. Trimester angewendet, z. B. wenn sich im Rahmen des Ersttrimesterscreenings ein erhöhtes Risiko für eine Chromosomenstörung ergibt. Der Eingriff dauert 2 Minuten und wird ambulant durchgeführt. Das Risiko für eine Fehlgeburt nach dem Eingriff liegt unter 0,1%.

Fruchtwasserpunktion – Amniozentese

Die Fruchtwasseruntersuchung kann ab der 16. Schwangerschaftswoche durchgeführt werden. Bei diesem Verfahren wird unter Ultraschallkontrolle eine dünne Nadel über die Bauchdecke der Mutter in die Fruchthöhle eingeführt und dabei 10-15 ml Fruchtwasser entnommen. Anschließend werden die Chromosomen durch einen Humangenetiker untersucht. Der Eingriff wird ambulant durchgeführt. Das Risiko für eine Fehlgeburt nach dem Eingriff liegt bei 0,1 – 0,5 %.

Nabelschnurpunktion – Cordozentese und intrauterine Transfusion

Manche Situationen erfordern eine direkte Untersuchung des kindlichen Bluts, z. B. bei bestimmten kindlichen Erkrankungen oder bei aufwendigen genetischen Untersuchungen. Hierdurch kann die Untersuchungszeit im genetischen Labor deutlich verkürzt werden. Die Punktion wird meistens ambulant durchgeführt. Ähnlich wie bei einer Fruchtwasseruntersuchung wird eine dünne Nadel über die Bauchdecke in die Fruchthöhle eingeführt und dann unter ständigen Ultraschallkontrolle aus der Nabelschnur etwas Blut abgenommen. Auf demselben Weg kann auch eine Bluttransfusion erfolgen, wenn der Fetus an einer Blutarmut leidet, z. B. bei Rhesusunverträglichkeit der Mutter oder Ringelrötelinfektionen. Das Blut stammt dabei von freiwilligen Spendern und ist in der Blutbank genauestens auf Infektionserreger und Verträglichkeit getestet worden.

 

Fetalblutabnahme

© MVZ Herne | Impressum | . Datenschutz | . Datenschutzeinstellungen anpassen.